O antebraço é a região do membro superior que fica entre o cotovelo e o punho. É formado pelos ossos rádio e ulna, os quais são unidos por uma membrana chamada de interóssea.
Apesar de não ser uma articulação propriamente dita, o antebraço possui dois movimentos próprios: a pronação e a supinação. Nesses movimentos, a ulna atua como eixo do movimento e o rádio gira sobre ela. Um exemplo típico desse movimento é quando apertamos um parafuso com uma chave de fenda.
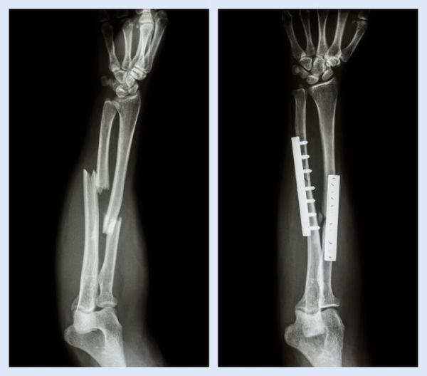
O antebraço é o segundo segmento que mais é vítima de fraturas expostas, perdendo apenas para a tíbia. As fraturas do antebraço são lesões muito comuns em crianças, constituindo cerca de 40% de todas as fraturas pediátricas.
Como ocorre a fratura do antebraço? Os principais mecanismos de fratura do antebraço são: o Trauma Direto na região do antebraço e o Trauma Indireto, como na queda da própria altura sobre a mão estendida. Em pacientes adultos jovens, geralmente a fratura ocorre após traumas por mecanismo de alta energia, como nos acidentes automobilísticos.

Quem tem maior risco de fraturar do antebraço? Nas crianças, a maioria dessas fraturas é mais frequente nos meninos, cerca de 3 a 4 vezes. Nos meninos, a idade em que mais ocorre essa fratura é em torno dos 9 a 14 anos. Nas meninas, a idade mais comum na qual ocorre essa fratura é por volta dos 5 ou 6 anos. Nos adultos, as fraturas são mais comuns em jovens do sexo masculino, principalmente relacionadas a acidentes de grande energia, como os automobilísticos e os disparos de arma de fogo.
Quais os sintomas? Dor, edema (inchaço), hematoma/equimose (mancha de coloração roxa, por extravasamento de sangue) e deformidade, além de incapacidade de mobilizar o membro superior afetado. Deve-se ter muito cuidado com as fraturas expostas, pois a ulna é um osso muito próximo da pele e sem proteção muscular, assim, até feridas pequenas têm o potencial de expor o osso.

Como é feito o diagnóstico?Além da história clínica e do exame físico, a utilização de alguns exames de imagens auxilia no diagnóstico e no planejamento da conduta terapêutica. A radiografia (RX) é o exame mais acessível e o mais utilizado para essa finalidade.
Todas as fraturas são iguais ou existe alguma mais grave do que outras? As fraturas do antebraço diferem entre si em termos de gravidade. Dentre os principais parâmetros, três se destacam para dizermos quão mais grave é a fratura. São eles:
1- Fraturas expostas ou lesões associadas;
2- Desvio dos fragmentos;
3- Padrão da fratura.
Como o padrão da fratura é classificado? Apesar de cada fratura ser diferente de uma pessoa para a outra, muitas apresentam padrões semelhantes. Tais padrões permitem criarmos uma classificação que orienta os médicos na condução do tratamento. Basicamente elas dividem as fraturas de acordo com sua localização, com energia/mecanismo do trauma e de acordo com o “traço” de fratura e com o desvio dos fragmentos (número de partes).

Como é feito o tratamento? O tratamento pode ser de duas formas: Conservador (sem cirurgia) ou Cirúrgico. A escolha do tipo de tratamento vai depender principalmente da gravidade, da idade do paciente e de alguns parâmetros, como os que citamos acima.
Como é feito o Tratamento Conservador? A melhor indicação de tratamento conservador é feita nos casos de fraturas sem ou com pouco desvio. Muito dificilmente é indicado o tratamento conservador, pois raramente ocorre a fratura com pouco desvio no adulto. Já nas crianças, o tratamento conservador é uma excelente opção, principalmente devido ao potencial de remodelação óssea das crianças. Mesmo nos casos de fratura com desvio nas crianças, pode ser feita uma redução “fechada” dessa deformidade, geralmente sob anestesia. O tratamento é feito com imobilização gessada, geralmente do tipo axilopalmar, sendo sempre realizado o acompanhamento radiográfico. Entre 6 e 8 semanas, a imobilização é retirada e o paciente pode iniciar alongamentos e exercícios contra resistência leve.O retorno a um arco de movimentos e à função quase normais é esperado após um período de 6 a 9 meses, podendo ser mais precoce nas crianças.

Como é feito o Tratamento Cirúrgico? As indicações mais aceitas para o tratamento cirúrgico de fraturas agudas do antebraço são fraturas expostas, comprometimento neurovascular associado e politraumatismo. Outras indicações são os grandes desvios, cotovelo flutuante (fratura do antebraço e do úmero no mesmo lado), idade acima de 10 -12 anos na presença de grande deformidade e falha do tratamento conservador. As demais situações devem ser avaliadas caso a caso. Dentre as principais técnicas empregadas, está a utilização de placas e parafusos. Em crianças, também podem ser utilizados fios (pinos) e hastes.

Quais as possíveis complicações? Infecção, Pseudartrose (“osso não cola”), deformidade residual, necrose, Artrose (também conhecido como Osteoartrite), lesão neurovascular, Trombose, embolia, dentre outras.
Após a cirurgia, em quanto tempo retorno às minhas atividades? O retorno vai depender muito da gravidade da fratura, das lesões associadas e de qual técnica de tratamento foi utilizada. Geralmente, o retorno pode variar de 4 a 12 meses no adulto e de 3 a 6 meses nas crianças. Todavia, há casos mais graves e mais complexos que necessitam de mais tempo para a reabilitação completa.

Dr. Diego Ariel
Oi Erick! Bom, em alguns casos, após fraturas no rádio distal e ulna, pode ocorrer um desalinhamento ou uma incongruência que interfere no movimento.
Se você já fez fisioterapia e o médico recomendou mais 10 sessões, é importante seguir firme nelas, pois a reabilitação ajuda muito a recuperar os movimentos e diminuir a dor. Às vezes, o processo de recuperação pode demorar mais do que o esperado, especialmente se houver alguma complicação, como rigidez articular ou tendinite.
Quanto ao laudo médico para suas limitações no trabalho, o ideal é conversar diretamente com seu ortopedista. Ele tem todos os detalhes do seu caso e pode elaborar um laudo que descreva bem as restrições e a necessidade de mais tempo de recuperação. Isso é comum e ajuda na adaptação das tarefas no trabalho.
Sobre o retorno completo à normalidade, é difícil prever um tempo exato. Fraturas com colocação de placas e parafusos podem exigir até 6 meses ou mais para recuperação total, dependendo do tipo de fratura e de como o corpo reage ao tratamento.
Continua firme nas sessões de fisio e, se a dor não melhorar ou houver dúvidas sobre o alinhamento dos ossos, talvez seja interessante conversar com seu médico sobre a possibilidade de um novo exame de imagem, como uma radiografia ou tomografia, para garantir que está tudo no lugar certinho.
Se precisar de mais alguma coisa, é só chamar! Boa recuperação e fica firme, que isso passa! :)
Para mais informações, entre em contato ou navega em nosso conteúdo...