A patela, também conhecida como rótula, é um osso localizado na frente do joelho. A patela tem um formato de triângulo invertido e bordas arredondadas. O tendão do quadríceps se insere no polo superior da patela e o ligamento patelar se origina do polo inferior. Essas três estruturas compõem o mecanismo extensor, principal responsável pelo movimento de extensão dos joelhos.
A fratura de patela representa 1% de todas as lesões do esqueleto, mais comuns em jovens em torno de 20 a 50 anos e cerca de duas vezes mais frequente nos homens de que nas mulheres.
Qual a função da Patela? Além de proteger a região anterior do joelho, a patela facilita a extensão (movimento de “esticar”) do joelho. A patela aumenta o braço de alavanca do quadríceps, resultando em maior força para o movimento de extensão em cerca de 60%. A perda da patela resulta em perda de força para a realização do movimento.
Como ocorre a fratura da Patela? São decorrentes de trauma direto ou indireto. No trauma direto, uma força ou impacto é efetuado diretamente na patela. Esse mecanismo é frequente em agressões e acidentes automobilísticos.
No trauma indireto, não há impacto direto sobre a patela. Geralmente, ocorre uma sobrecarga do mecanismo extensor, como no impulso vertical durante salto ou ato de tropeçar.

Quais os sintomas? Dor e edema (inchaço) do joelho, além de incapacidade de apoiar o peso do corpo de esticar o joelho. A hemartrose (derrame articular) é um sinal bastante frequente. Ao palpar o joelho, muitas vezes, é possível sentir os fragmentos separados da fratura. Já a exposição óssea (fratura exposta) também pode estar presentes e inspira maiores cuidados.
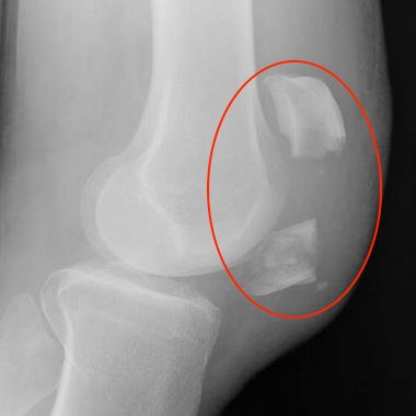
Como é feito o diagnóstico? Além da história clínica e do exame físico, a utilização de alguns exames de imagens auxilia no diagnóstico e planejamento da conduta terapêutica. A radiografia (RX) é o exame mais acessível e o mais utilizado para essa finalidade. A tomografia é muito útil para uma melhor avaliação do padrão de fratura.

Todas as fraturas são iguais ou existe alguma mais grave do que outras? As fraturas da patela diferem entre si em termos de gravidade. Dentre os principais parâmetros, 2 se destacam para dizermos quão mais grave é a fratura. São eles:
1- Fraturas expostas ou grave lesão de partes moles (pele, músculos, ligamentos, tendões etc);
2- Padrão da fratura.
Como o padrão da fratura é classificado? Apesar de cada fratura ser diferente de uma pessoa para a outra, muitas apresentam padrões semelhantes. Tais padrões permitem criarmos uma classificação que orienta os médicos na condução do tratamento. Os principais aspectos observados são o Desvio dos Fragmentos (“quanto mais afastados os pedaços da fratura, mais difícil o tratamento”, por exemplo) e o Traço da Fratura (fratura em formato de “estrela”, fratura “transversa”, “multifragmentada” etc).

Como é feito o tratamento? O tratamento pode ser de duas formas: conservador (sem cirurgia) ou cirúrgico. A escolha do tipo de tratamento vai depender principalmente da gravidade e de alguns parâmetros, como os que citamos acima.
Como é feito o Tratamento Conservador? O tratamento conservador geralmente é indicado em fraturas com pouco desvio (<2mm), fratura fechada, com mecanismo extensor íntegro e sem outras lesões associadas. Consiste basicamente no uso de imobilização (geralmente de gesso) por 4 a 6 semanas e carga conforme tolerado. Depois que o paciente voltar a caminhar, será necessário obter novas radiografias para verificar se a redução foi mantida. Se deslocar, cirurgia é indicada.
Como é feito o Tratamento Cirúrgico? A técnica a ser utilizada vai depender dos parâmetros de gravidades que já discutimos. Dependendo do tipo de fratura, pode ser necessária mais de uma cirurgia. Dentre as principais técnicas empregadas, está a utilização de placas, parafusos e fios. Em alguns casos, até mesmo uma patelectomia (retirada de uma parte ou de toda a patela) pode ser necessária.


Quais as possíveis complicações? Rigidez do joelho (joelho duro), infecção, síndrome compartimental, Pseudartrose (“osso não cola”), deformidade residual, necrose, Artrose (também conhecido como Osteoartrite), lesão neurovascular, Trombose, embolia, dentre outras.
Após a cirurgia, em quanto tempo retorno às minhas atividades? Logo após a cirurgia, o paciente já inicia a reabilitação fisioterápica. O plano de reabilitação é individualizado de paciente para paciente, pois depende da gravidade da fratura e das lesões associadas. Em média, o paciente, após a cirurgia, fica imobilizado por 3 a 6 dias e depois inicia mobilização. Geralmente, a carga total é liberada em torno de 6 semanas, contudo o retorno às atividades é muito variável, podendo ocorrer em 6 meses ou podendo demorar mais de 1 ano, nos casos graves.

Dr. Diego Ariel
Oi, prinspa! Não precisa ficar tão nervosa não, viu? A retirada do fio de Kirschner (K-wire) e dos pinos geralmente é um procedimento simples e rápido. A cirurgia pode durar entre 30 minutos e 1 hora, dependendo do caso. Isso pode variar um pouco com base na quantidade e no local exato dos fios e pinos, mas, no geral, é bem tranquilo.
Riscos:
O importante é seguir direitinho as recomendações do seu médico. E se puder, já pergunta também sobre a fisioterapia, que é fundamental para uma recuperação mais rápida e eficiente. Vai dar tudo certo... respira fundo e confia! :)
Para mais informações, entre em contato ou navega em nosso conteúdo...